부인과 성형수술
이화산부인과 부인성형의 장점
- 여성의 몸과 생활을 이해하는 수술방법으로 편안합니다.
- 레이저와 최고수준의 장비를 이용한 섬세한 수술로 정평이 나 있습니다.
- 회복이 빠르고 실패가 없습니다.
- 여성과 배우자가 함께 만족합니다.

질 성형술
나와 그이 사이 딱 맞게 밀착되도록..
느슨해진 질 내부와 입구, 손상 받은 질 주위 근육까지 복원질 이완의 증상
- 남성 성기와의 접촉이 감소하여 성감이 저하되고 성생활의 만족도 감소
- 남성 성기의 움직임에 따라 바람 소리가 나거나 성기가 잘 빠짐
- 방광이나 직장의 벽이 늘어져 질 내부로 돌출되고 배변에 장애를 일으킴
수술 후 호전되는 증상
- 부부의 성감이 좋아지고, 성생활의 만족도가 높아집니다.
- 수술 전 잦았던 질이나 외음부의 염증도 감소시키는 효과가 있습니다.
수술시간은 약 1시간이 소요되며 수술 후 바로 일상생활이 가능합니다. 수술 후 약 1주간 통원치료를 하며 수술부위 회복을 돕기 위한 레이저와 운동 요법을 병행합니다. 약 6주후에는 진찰 후 성관계가 가능합니다. 요실금 증상이 있는 경우 질 성형과 요실금 수술(TOT)을 한번에 편안히 진행 할 수 있습니다.
소음순 성형술
피어나기 직전의 어린 꽃잎처럼
소음순은 여성의 요도와 질 입구를 감싸는 외음부 안쪽 날개모양의 구조물입니다. 모양, 크기와 색은 여성마다 다르며 사춘기 이후 더욱 두드러지게 달라지는 부위 중 하나 입니다. 소음순에 발생하는 염증이나 지나치게 펼쳐진 커다란 소음순으로 인한 불편감을 줄이기 위해 수술 하기도 하지만, 많은 경우 제모나 피부관리와 마찬가지로, 개인의 취향이나 깔끔한 이미지를 위하여 크기나 색깔, 모양을 수정하기 위해 시술 합니다.소음순 비대의 증상
- 바지를 입을 때 소음순이 불쾌하게 닿습니다.
- 비대한 소음순 때문에 소변이 허벅지로 흐릅니다.
- 양쪽이 서로 달라붙어 습하고 자주 염증이 생깁니다.
- 성관계 할 때 소음순이 질속으로 말려들어갑니다.
수술은 소음순의 안팎을 세밀하게 디자인하여 개인에 맞게 수술하는 맞춤 수술법으로 약 30분이나 1시간정도 소요됩니다.
수술 후 바로 일상생활이 가능하며, 회복기간은 약 1주일로 시간이 경과하면서 자연스레 아뭅니다.
음핵 성형술
여성에게도 무기가 있다.
음핵은 여성의 성기에서 가장 민감하게 자극에 반응하고 쉽게 극치감에 이르도록 하는 가장 중요한 성감대 중 하나 입니다.
자극을 받으면 남성의 성기처럼 부풀고 발기하게 되지만, 음핵이 함몰되거나 두꺼운 피부로 덮이면 필요한 자극이 전달 되지 않아 성감이 둔화됩니다. 이런 경우에 음핵주위를 정리하고 포피를 제거하는 수술이 도움이 됩니다. 음핵을 적당 부분 노출해주면 성감이 확실하게 전달되어 극치감이 커질 수 있습니다.
수술은 비교적 간단하여 국소마취 하에 절개와 봉합을 하는 데 10분이나 20분이 소요되며 수술 후 즉시 일상생활이 가능합니다.
성감대 보강술
내 남자와 함께 만나는 색다른 내 안의 자극
G-spot은 질 안의 음핵과도 같은 부위입니다. 음핵과 같은 민감한 반응이 아니라 느리지만 더 깊고 강렬한 극치감을 느끼게 합니다. 자신의 성감대를 찾지 못하거나 자극을 주는 방법을 모르는 경우 성감대 보강술은 이 G-spot에 더 강한 자극을 줄 수 있도록 하는 수술 입니다. 정확한 위치에 정확한 시술을 하기 위해서는 기술보다는 경험이 중요합니다.
간단한 국소마취 하에 질 안쪽의 G-spot를 찾아 시술을 하며 10여 분이 소요됩니다. 수술로 인한 일상생활의 불편은 거의 없습니다.
처녀막 재생술
지나간 것은 지나간 대로, 새로운 시작은 밝고 아름다운 대로..
처녀막은 질 입구 바로 안쪽에 위치한 탄력 있는 주름조직으로 처녀막의 파열로 인한 혈흔은 처녀성의 상징으로 알려져 있지만 실제로는 막이 아닙니다.
개인에 따라 모양과 크기와 두께가 다르며 성교 이외의 승마나 자전거 등의 운동, 탐폰의 사용이나 일상생활에서도 파열될 수 있습니다. 그러나 사회문화적으로는 아직도 처녀막에 중요한 의미를 두기도 합니다. 과거의 성 관계나 좋지 못한 기억에서 벗어나 여성으로 새롭게 태어나는 상징적인 의미가 있는 수술입니다.
파열된 처녀막의 모양을 레이저로 재단한 뒤 가는 실을 이용해 봉합하여 원상으로 복구해 주는 방법으로 시간은 약 30분 정도가 소요되며 녹는 실을 사용하기 때문에 따로 실을 제거할 필요가 없습니다. 수술 후 즉시 일상생활로 복귀가 가능합니다.
매직 스프링 질 축소술
질식 분만의 경험이 없거나 이전에 질 성형술 받았던 경우에는 외형상으로는 훌륭한 상태로 유지가 되지만 시간이 지날수록 골반 근육이 얇아지고 탄력이 없어져 ‘조여주는 느낌’이 없어지게 됩니다. 이런 경우에는 잘 유지되어 잇는 다른 부위를 손상시키지 않고 질 내부의 탄력만을 보강하는 방법이 가장 적합합니다.
특징
- 특수한 고탄력 섬유를 사용하여
- 질 주위의 탄력만을 증가시키고
- 질 내부를 인위적으로 좁히지 않고
- 통증이 가장 적고 회복 속도 역시 가장 빠르게 됩니다.
골반 주위의 근육이 약해져 질성형이나 회음성형만으로는 충분한 탄력을 기대하기 힘든 경우 매직 스프링 질 축소술을 함께 하는 것이 해답입니다.
모나리자 터치
이제 부담스러운 수술이 아닌 간단한 레이저 시술만으로 질성형과 요실금을 치료할 수 있습니다.
마취 및 오랜 획복기간으로 수술이 부담스러웠다면, 간단하고 시술후 일상생활에 전혀 지장이 없는 모나리자터치 시술을 권해드립니다.

질 점막의 회춘을 위한 DEKA사 만의 특수한 펄스(D-pulse)를 이용해 최소침습으로 기저층을 자극하여 이완된 질 점막을 탄력있고 두껍게 좁혀주고, 요실금 치료 및 질 내 환경을 개선(질 위축증, 질 건조증, 질염 등) 해주는 신개념 레이저 시술입니다.
모나리자터치 시술은 콜라겐 재생 뿐만 아니라 히알루로닉산, 글라이코스, 아미노글라이칸, 프로테오글리칸 등의 새로운 합성으로 신진대사 활성화를 촉진시키고, 건강하고 수화(수분함유) 및 팽창된 점막을 다시 한번 갖게 하는 것이 궁극적인 목적입니다.
모나리자 터치에 사용하는 SMARTXDE2는 유럽CE 마크 획득, KFDA로부터 한국 최초로 vulvo-vaginal rejuvenation 치료에 높은 성능을 갖고 있는 장비로 허가 받은 레이저 입니다.

모나리자 터치! 이런 분들께 권합니다.
- 하나, 배우자와의 성관계가 만족스럽지 않은 여성
- 둘, 질이 건조하여 관계시 통증이 있는 여성
- 셋, 외음부 미백을 원하는 여성
- 넷, 폐경기 전후의 질회춘을 원하는 여성
- 다섯, 질염 및 질위축증 여성
- 여섯, 콘딜로마 등 그 외 부인과 질환으로 고통받는 여성
모나리자 터치와 기존 시술의 차이점
모나리자터치
- 시술 : 늘어난 질 벽에 레이저를 조사하여 콜라겐을 재생시키는 시술
- 마취 : 없음
- 통증 : 거의 없음
- 모양 : 질이나 외음부 모양이 예뻐짐
- 효과 : 요실금 개선 및 성감향상, 질이나 골반근육에 탄력이 생김
- 부작용 : 거의 없음
- 합병증 : 없음
기존요실금 수술
- 시술 : 테이프를 요도 밑에 삽입하는 수술
- 마취 : 수면마취, 국소마취
- 통증 : 배뇨곤란과 허벅지를 포함한 다리의 불편과 통증
- 모양 : 변화없음
- 효과 : 요실금 개선
- 부작용 : 수술부위의 염증이나 상처의 벌어짐, 수술시 사용한 요실금 테이프 노출
- 합병증 : 배뇨장애 및 허벅지 통증이 있을 수 있음
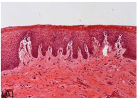
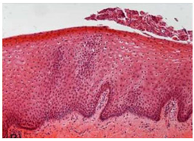
모나리자 터치 시술전후

얇은 상파층과 돌기를 볼 수 있습니다.
이형태학적 사진에 의하면 현재 조기 위축증 단계이며, 점점 세포층과 돌기가 적어지는 상피 상태로 진행중입니다.

모나리자 터치 시술 한달 후 질 점막
더 두꺼워진 상피층.
글라이코겐이 풍부한 반경이 큰 상피세포와 함께 자유 표면으로부터의 수많은 큰 세포가 떨어져 나갑니다.
신진대사의 영양공급이 재생되고 상피층 전체가 역동적으로 보입니다.
모나리자 터치 시술과정

- 1. 고객 차트 및 설문지 작성
- 2. 소독
- 3. 질프락셔널 스캐너 : 60도 회전하면서 레이저 조사. 질타이트닝, 질건조증, 요실금, 질위축증, 질염등 개선
외음부 프락셔널 스캐너 : 소음순, 대음순 화이트닝 - 4. 소독 : betadine dressing
모나리자 터치 장점
- SAFETY : 뛰어난 안전성
- PAINLESS : 무마취 무통증
- FASTNESS : 10분~15분 시술완료, 시술 후 바로 일상생활 OK
- EFFECTIVENESS : 1회 시술만으로 확실한 효과










































